천식·알레르기센터
알레르기 비염
알레르기 비염,
더이상 난치성질환이 아닙니다.
알레르기 내과 전문의와 함께 원인을 찾는다면,
증상 완화하는 것은 물론
적합한 면역치료를 통해
완치까지 기대할 수 있습니다.
코감기와 다른 알레르기 비염
Check Point !
증상이 감기와 유사해 감기로 오해하기 쉽지만,
감기와는 원인과 치료방법이 모두 다른 질환입니다.
Allergic rhinitis allergens
알레르기 비염 원인물질
알레르기 비염 치료는 알레르기를 일으키는
원인 물질인 알레르겐(항원)을 찾는 것에서 출발합니다.
-
집먼지 진드기
-
동물의 털
-
음식물
-
꽃가루
-
직간접 흡연
-
곰팡이
-
바퀴벌레
-
대기오염
Symptoms of Allergic Rhinitis
알레르기 비염 주요증상
반복되는 비염 증상으로 일상생활이 불편하다면
알레르기 비염 치료가 필요합니다.
-
발작적
재채기 -
코
간질거림 -
눈물
-
충혈
-
코
이물감 -
눈
가려움 -
맑은
콧물 -
코
막힘
알레르기 비염의 합병증
알레르기 비염을 치료하지 않고 방치하면
호흡기 합병증이나 다른 알레르기 질환을 초래할 수 있습니다.
부비동염(축농증)
알레르기 비염으로 인해 부비동 점막이 부어오르면,
부비동의 배출구가 막히고
점액이 고이면서
세균이나 바이러스가 증식해 염증이 발생합니다.
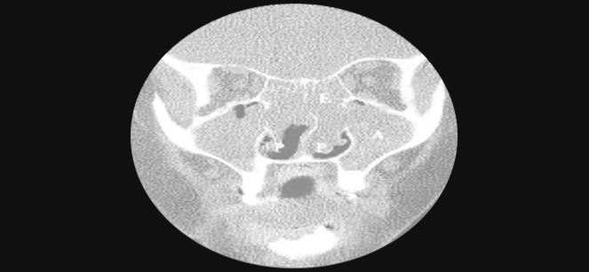
비용종
알레르기 비염이 오래 지속되면
코 안 점막이 염증으로 손상되고
변형되면서
비용종을 형성하게 됩니다.
알레르기 비염과 천식의 연관성
천식 환자의 80%는 알레르기 비염을 동반합니다.
코와 기관지는 연결되어 있어 각 부위의 염증이
영향을 미칠 수 있습니다.
알레르기 비염이 조절되지 않는다면
천식까지 악화될 수 있어 주의해야 합니다.
Allergic Rhinitis Treatment Program
알레르기 비염
통합치료 프로그램
풍부한 임상 경험과 최신 지식을 바탕으로
알레르기 비염에 특화된 치료를 제공합니다.
알레르기 비염 치료,
광동인 이유!
단순히 증상만 억제하는 것이 아니라 면역 시스템을 안정화해
알레르기 체질 자체를 개선하는 것을 목표로 합니다.
서울대학교 의과대학 내과학 박사
조상헌 교수가 직접 진료합니다


01
- <EBS 명의> 출연
- “당신의 일상이 무너진다, 알레르기 비염” 편
02
-
전) 서울대학교병원
알레르기내과 교수 - 전) 서울대학교 알레르기 및 임상면역연구소 소장
03
- <당신이 이제껏 참아온 그것 알레르기 입니다>
- 외 다수 집필
천식 · 알레르기 치료의 종착지
치료가 어려웠던 중증 알레르기 질환과
복합적인 알레르기 질환을 꾸준히 연구합니다.
대학병원급 검사 ·
진료 시스템 구축
쾌적하고 편리한
진료실·입원실
대학병원급
검사장비
검사, 치료 단계별
전문의료진
개인맞춤형
치료 프로그램
신호 프로파일]">
발생 빈도와 임상 양상]">