About KwangDong

병원소개

주요 검사장비

  • MRI
  • 128 Slice CT
  • 내시경
  • 초음파
  • 맘모그래피
  • Exbody
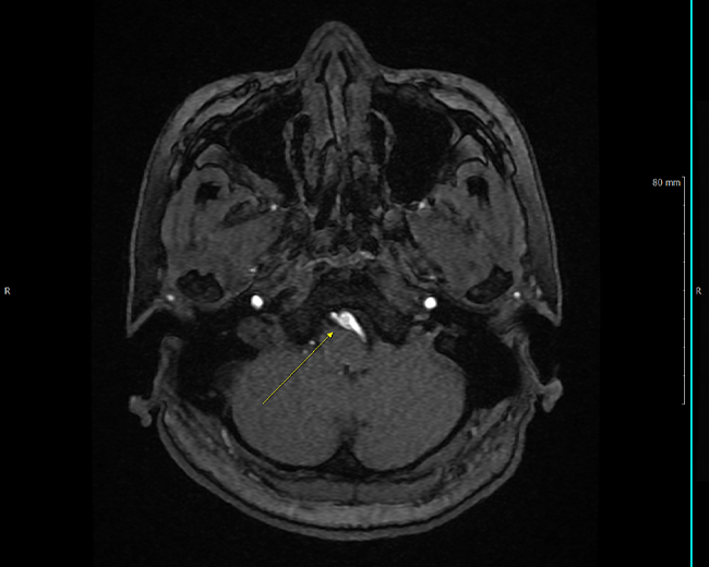
  • MRI

    MRI란?

    MRI

    MRI(자기공명영상, Magnetic Resonance Imaging)는 강한 자기장과 고주파를 이용해 신체 내부의 단면을 정밀하게 촬영하는 검사 장비입니다.
    인체에 해가 없는 방식으로 뇌, 척추, 관절, 장기 등 다양한 부위의 구조와 병변을 선명하게 확인할 수 있어,
    정확한 진단과 치료 계획 수립에 매우 중요한 역할을 합니다.

    광동병원의 프리미엄
    MRI - GE SIGNA Explorer

    광동병원은 환자중심 기술로 진단의 효율성과 신뢰성을 높인
    최신형 MRI 장비 GE SIGNA Explorer 1.5T를 도입하여,
    보다 빠르고 정밀한 프리미엄 의료서비스를 제공합니다.

    • 고해상도 영상

      GE만의 HD 기술을 활용하여 미세한 병변도 정확하게 포착

    • 검사시간 단축

      4가지 분리 영상 동시 획득 → 빠르고 정확한 진단 가능

    • 저소음시스템

      Quiet Technology로 검사 중 소음스트레스 최소화

    • 환자 친화적 설계

      낮은 테이블과 편안한 LED 불빛을 제공하여 폐쇄감과 긴장완화

    • 조영제 사용 최소화

      고효율 영상 기술을 통해 필요한 경우에만 조영제를 사용,
      안전성과 편의성 향상

    MRI의 임상적 적용

    MRI
    뇌신경계질환
    뇌출혈, 뇌경색, 치매, 파킨슨병, 두통, 어지럼증, 기억력 저하 등 원인 정밀 진단
    뇌신경계질환
    척추 및 관절 질환
    디스크, 협착증, 무릎/어깨 관절 손상, 만성요추,경추 통증 등 정형외과 질환평가
    척추 및 관절 질환
    복부 및 골반 질환
    간, 신장, 췌장, 자궁, 전립선 질환 및 암, 낭종, 염증성 질환의 정밀 스크리닝
    복부 및 골반 질환
    근골격계 질환
    스포츠 손상, 근육/인대 파열,수술 전후 평가 및 기능분석
    근골격계 질환
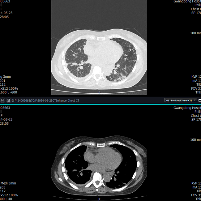
  • CT

    CT란?

    CT

    CT(Computed Tomography, 컴퓨터단층촬영)는 X선을 다양한 각도에서 촬영하여 인체의 단면 영상을 만들어내는 정밀 검사입니다.
    빠른 촬영 속도와 높은 해상도를 바탕으로 뼈, 폐, 혈관, 장기 등 다양한 부위의 구조를 입체적으로 확인할 수 있어 응급 진단부터 정밀 검사까지 널리 활용됩니다.

    광동병원의 Philips Incisive CT (전산화 단층 촬영장비) 128채널

    정확하고 빠른 전신 진단, 환자 중심의 차세대 CT 시스템
    광동병원은 필립스社의 최신 CT 장비인 Incisive CT 128채널을 도입하여 정밀하고 빠른 영상 진단은 물론, 방사선 노출을 최소화한
    환자 중심 검사 환경을 제공합니다. 검사 시간은 단축되고 영상의 질은 더욱 향상되어, 보다 정확한 진단이 가능해 졌습니다.

    • 128채널 고속촬영

      한 번의 촬영으로 더 넓은 범위를 빠르게 스캔하여
      환자 부담 최소화

    • Dosewise기술 적용

      환자의 방사선 노출량을 획기적으로 줄이면서도
      영상 품질 유지능

    • AI기반 영상분석

      인공지능 기반 자동 정렬 및 재구성으로 진단 정확도 향상

    • 신속한 검사시간

      0.27초의 빠른 회전 속도로 응급 검사 시에도 정확하고 신속한 진단 가능

    • 넓고 편안한 검사 공간

      폐쇄 공포증 환자도 편안하게 검사 가능, 고령층과 소아에게도 적합

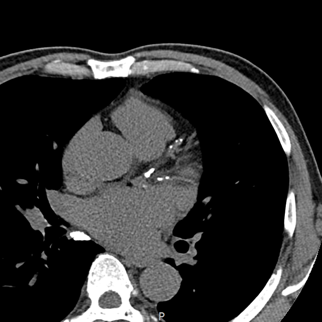
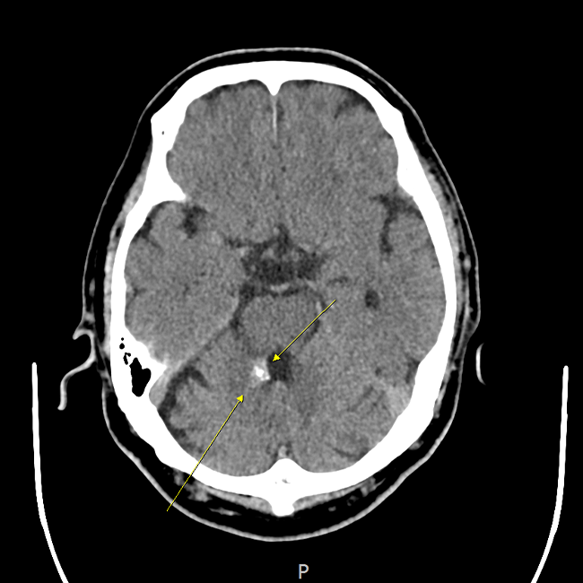
    CT의 임상적 적용

    CT
    뇌혈관 질환
    뇌출혈,뇌경색,뇌동맥류,치매 등
    뇌혈관 질환
    심혈관 질환
    관상동맥질환,대동맥류,말초혈관 질환 등
    심혈관 질환
    흉부 및 폐질환
    폐렴, 만성폐쇄성폐질환(COPD)、폐기능 저하나 염증 등
    흉부 및 폐질환
    전신 암・종양 스크리닝
    간.췌장,신장,부신,갑상선,자궁,난소,전립선 등
    전신 암・종양 스크리닝
    근골격계
    척추디스크, 척추관 협착증,관절염, 골절, 골종양 등
    근골격계
  • 내시경

    내시경이란?

    내시경

    내시경은 입이나 항문을 통해 식도, 위, 십이지장, 대장 등 소화기관 내부를 관찰하고, 필요 시 조기 진단과 치료까지 가능한
    의료 장비
    입니다.
    과거에는 수술이 필요했던 부위도, 내시경으로 비수술적이고 안전하게 검사할 수 있습니다.

    내시경의 활용 분야

    • 소화기관 내부 관찰

      식도, 위, 대장 등 소화기 내부를 직접 눈으로 확인하여 염증, 궤양, 용종, 종양 등 조기 진단

    • 조직 검사(생검)

      이상이 의심되는 부위에서 조직을 채취하여 보다 정확한 병리 진단 가능

    • 이물질 제거분석

      위나 대장 내에 들어간 음식물, 이물 등을 내시경을 이용해 안전하게 제거

    • 내시경적 시술

      개복수술 없이 용종 절제, 출혈 지혈, 협착 부위 확장 등 치료 가능

    광동병원의 내시경

    • 1)  Olympus EVIS LUCERA ELITE
      - 고해상도 광학 기술의 집약체

      정확한 조기 진단을 위한 광동병원의 프리미엄 내시경 시스템
      광동병원은 세계적인 내시경 전문 기업 Olympus의 EVIS LUCERA ELITE 시스템을 도입하여 위·대장·식도 등
      소화기 질환을 보다 정밀하고 안전하게 진단하고 있습니다. 고해상도 영상과 첨단 영상 강화 기술을 통해, 미세한
      병변까지 정확히 포착하여 조기 발견과 치료의 가능성을 높입니다.

    • 2)  내시경 인공지능분석 시스템 ENAD도입

      AI가 실시간으로 병변을 감지하여, 더 정확한 내시경 검사를 지원합니다.
      광동병원은 위·대장내시경 검사 시 **AI 기반 영상분석 소프트웨어 'ENAD'**를 도입하여 검사 정확도를 한층 더
      끌어올렸습니다.ENAD는 수백만 건의 다양한 병변 데이터를 딥러닝한 AI가 검사 중 실시간으로 병변을 자동 검출하고
      화면에 표시함으로써,의료진의 빠르고 정확한 판단을 즉각적으로 보조합니다.

    • 3)  NBI(Narrow Band Image) 기술 탑재

      혈관과 점막의 미세한 구조를 정밀하게 시각화하여 조기 위암, 용종, 염증성 질환 등을 놓치지 않고 진단합니다.

    • 4)  고해상도 Full HD 영상

      병변의 색조·윤곽·표면 구조까지 명확하게 표현되어 의료진의 진단 정확도 향상

    • 5)  조작성 및 유연성 강화

      기존 내시경 대비 삽입·조작이 부드럽고 정밀하여 환자의 불편감 최소화

    • 6)  실시간 기록 및 공유 시스템

      검사 영상은 PACS(의료영상 저장시스템)와 연동되어 의료진 간 협진 및 치료계획 수립에 유용하게 활용됩니다.

    관련 센터 소개

    광동병원 내시경센터는
    대학병원 출신의
    소화기내과 전문의가 직접 검사부터
    결과 설명까지 책임지며

    정확한 진단과 환자 중심 케어를
    동시에 실현합니다.
  • 초음파

    초음파검사란?

    초음파

    초음파검사(Ultrasound)는 인체에 무해한 고주파 음파를 이용하여 몸속 장기와 조직의 상태를 실시간으로 관찰하는 안전한 영상 검사입니다.
    방사선을 사용하지 않아 임산부, 어린이, 고령자도 안심하고 받을 수 있으며, 검사 부위에 젤을 바르고 탐촉자(프로브)를 대어 촬영하므로 통증이나 불편감이 거의 없습니다.

    • Crystal Clear Imaging™

      조직의 경계와 병변의 형태를 더 선명하게 표현하는 고해상도 영상 기술 미세 병변도 정밀하게 확인 가능

    • HQ-Vision™

      흐릿한 경계를 개선하고 해상도를 높여 병변의 구조를 더 또렷하게 표현하는 삼성의 독자 기술

    • ShadowHDR™

      뼈나 가스 뒤에 가려진 어두운 영역도 밝고 균일하게 표현시야 사각지대를 줄여 조직 전체를 명확하게 관찰

    • EzAssist™ (AI 기반 진단 보조)

      측정 자동화 및 표준화
      의료진의 정확하고 빠른 진단 지원 안정된 검사 품질 유지

    초음파검사의 임상적 적용

    초음파
    복부질환
    간, 담낭, 췌장, 신장, 비장 등 장기 질환 진단
    복부질환
    갑상선/경부
    결정, 종양, 염증성 질환 등
    갑상선/경부
    심장/혈관
    심장기능, 혈류속도, 혈관 협착 평가
    심장/혈관
    근골격계
    관절, 인대, 근육손상 진단
    근골격계
  • 맘모그래피

    맘모그래피란?

    맘모그래피

    유방암 조기 진단을 위한 가장 기본이자 중요한 검사
    맘모그래피(Mammography)는 유방을 엑스선(X-ray)으로 촬영하여 유방암을 비롯한 각종 유방 질환을 조기에 발견할 수 있도록 돕는 유방촬영 검사입니다.
    특히, 유방암은 초기에는 자각 증상이 거의 없기 때문에, 맘모그래피를 통한 정기 검진이 생명을 지키는 열쇠가 됩니다.

    • 미세 석회화까지 정밀하게 확인

      손으로 만져지지 않는 초기 병변까지 고해상도 영상으로 진단 가능

    • 저선량, 고화질 검사

      방사선 노출은 최소화하면서도 선명한 영상 확보

    • 간편하고 빠른 검사

      검사 시간 5~10분 내외, 통증은 거의 없거나 경미함

    • 40세 이상 여성 필수 검사

      국가건강검진에서도 유방암 검진 항목으로 포함

  • Exbody

    Exbody(엑스바디)란?

    Exbody

    정밀 체형 분석 및 근골격 기능 평가를 위한 디지털 자세 분석 시스템으로, 병원 재활의학과, 정형외과, 운동치료센터 등에서 널리 활용되는 장비입니다.

    Exbody
    - 디지털 체형·자세 분석 시스템

    근골격계 이상을 정밀하게 진단하고 재활 치료 방향을 제시합니다. 광동병원은 보다 정확한 자세 평가와 운동 기능 분석을 위해 3D 자세 분석 솔루션인 Exbody(엑스바디) 시스템을 도입하고 있습니다.
    Exbody는 척추, 골반, 어깨, 무릎 등 주요 관절의 정렬과 움직임 상태를 실시간 분석하여 통증의 원인을 과학적으로 진단하고,
    환자 맞춤 재활치료 및 운동 처방에 활용됩니다.

    Exbody의 주요 기능

    Exbody
    • 디지털 체형 분석

      전·측면에서 자세를 촬영 후, 척추·골반의 정렬 상태와
      불균형 평가

    • 근골격 기능 검사

      근육의 좌우 균형, 관절 가동 범위, 비대칭 움직임 등을 정밀 측정

    • 보행 및 동작 분석

      걷기, 앉기, 팔 들어올리기 등 실생활 동작 시의 체형 변화
      추적 가능

    • 통증의 원인 규명

      만성 허리통증, 골반 틀어짐, 무릎 통증 등 자세 이상으로 인한 근골격계 질환의 원인을 시각적으로 확인

    • 맞춤형 재활 설계

      검사 결과에 따라 개인별 운동처방, 도수치료, 자세 교정 프로그램 연계

간편 진료 예약

간편 진료 예약

간편 검진 예약

간편 검진 예약

간편 진료 예약

간편 진료 예약

간편 검진 예약

간편 검진 예약
close